DermaGene® MagicLift 4in1 Arcfeszesítő és Bőrfiatalító Készülék Csomagban Collagen Jelly Géllel

A MagicLift egy kompakt, intelligens szépségápoló készülék, amely könnyedén elfér a neszesszeredben, és stílusosan mutat a fürdőszobapolcodon. Négy fejlett technológiával dolgozik azon, hogy serkentse a kollagéntermelést, feszesítse és tömörítse a bőrt, javítsa a bőrminőséget, és segítsen megőrizni kortalan ragyogásodat. Használatával bőröd simább, egységesebb és sugárzóbb lesz – pontosan olyan, amilyennek mindig is szeretted volna! Most a különleges DermaGene Collagen Jelly Gel-lel együtt szerezheted meg, amely tovább fokozza a kezelés hatékonyságát, és extra táplálást nyújt a bőrödnek, így valóban professzionális arcfiatalító élményt élvezhetsz otthonodban.
Legjobb ár az elmúlt 30 napban: br. 47.900 Ft

Vásárlói vélemények:
5
1 vélemény »

| Várható szállítási idő: | Raktáron, átvétel azonnal bemutatótermünkben, házhozszállítás: GLS (1-3 munkanap), Foxpost (2-5 munkanap) |
Két Extra Hatékony Ránctalanító Technológia Egyetlen Eszközben!
A MagicLift 4in1 forradalmasítja otthoni bőrápolási rutinodat! Ez a modern elektrokozmetikai készülék az EMS (mikroáram) és rádiófrekvenciás technológia erejével veszi fel a harcot a ráncokkal és a megereszkedéssel, hogy bőröd újra feszes, tónusos és fiatalos legyen. Egy hihetetlenül okos készülék mely elfér a neszesszeredben, gyönyörűen mutat a fürdőszoba polcodon és 4 technológiával tartja tökéletesen karban a bőrödet. Gondoskodik a kollagén termelésed serkentéséről, a bőröd feszességéről és tömörségéről, a bőrminőségedről és arról, hogy hosszú távon kortalannak érezd magad. Sima, egyenletes, ragyogó bőrt eredményez- ahogy mindig is elképzelted! Nyűgözz le mindenkit!

Professzionális Technológiák Otthonra
A modern szépségápolás jövője a MagicLift, mely 4 technológiával tartja profin karban a bőrödet. A saját esztétikai központod OTTHON. A legmodernebb elektrokozmetikai technológiákat egyesíti, hogy bőröd feszesebb, simább és fiatalosabb legyen. A készülék négy fő funkciót kombinál, melyek egymást erősítve hozzájárulnak a bőr átfogó fiatalításához:
1. Rádiófrekvencia. A rádiófrekvencia az egyik legsokoldalúbb anti-aging technológia. A hő okozta sérülésekkel serkenti a kollagén termelést, ugyanakkor a bőrfelszínen hatva összehúzza a pórusokat, finomítja a textúrát. Ragyogóbb, egységesebb, tömörebb bőrt eredményez- rendszeres kezelésekkel természetesen. A szalonok és orvosi klinikák is alkalmazzák mind ezt a fantasztikus eljárást, de fontos, hogy minden esetben minimum 6-8 kezelés lesz szükséges a látható változás érdekében (azaz egy fecske nem csinál nyarat) és fontos lesz a kezeléssorozat ismétlése évente. Mennyit spórólsz egy otthoni rádiófrekvenciás készülékkel? Sokat. Mert otthon mindig elő tudod venni és amikor van időd, gyorsan elvégzed a kezelést. Ez nem egy olyan készülék, amire később nem lesz szükséged....
Érdekel a rádiófrekvencia hatása
2. EMS azaz mikroáram. A mikroáram bár serkenti úgyszintén a kollagén termelést, de itt a jelentősége más: a sejtek ATP termelését növeli meg 400%-kal, azaz energizál és ami a legfontosabb: az izmokat tartja karban. Korábban írtuk, hogy nem csak a kollagén rostok vékonyodása és csökkenése okozza az idősebb kinézetet, hanem az izmok atrófiája, petyhüdtsége is. Az EMS azért csodás, mert folyamatosan ingerárammal olyan pici bioelektromos jeleket küld az arcizmoknak, mint az agy is, ezáltal összehúzódásokat ér el,
azaz edzi az izmokat. Így az arcizmok tónusosak, erősek maradnak és kevésbé érvényesül a megereszkedés, főleg a V vonalon és a nazolabiális redő esetében. De a szemhéjon is alkalmazhatjuk feszesítésre-emelésre, a szemöldökön is. A szemkörnyéken a mikroáram serkenti a keringést, így csökkenti a sötét karikákat és az ödémát, duzzanatot. Az EMS energizál, keringést javít (mind vér és mind a nyirokkeringést!) és az izmokat edzi.
Szeretnék többet tudni az otthoni mikroáram klinikailag igazolt hatásairól
3. LED terápia - A LED kezelés természetes fény által vitalizálja a sejteket, gyorsítja a keringést, növeli a sejtek oxigénellátását, erősíti a kötőszöveteket, gyorsítja az anyagcserét és a kiválasztást. A kezelés során a természetes fényhullám behatol a bőrbe és aktiválja a fényelnyelő sejteket, ahol az energiát elnyeli a hemoglobin, a proteinek, a szénhidrátok és a zsírok. Fiatalosabb, energizáltabb bőrképet eredményez- ezt azért szeretjük mert felturbózza a rádiófrekvencia és EMS hatását és a textúrára van szép hatással.
4. Vibráció- a vibrációs rezgés átmasszírozza a bőrt és stimulálja a sejteket, illetve javítja a hatóanyagok felvételét. Egy kis mikromasszázs a bőrnek mely kényeztet és jótékony hatásai is érvényesülnek, hiszen a sejtek aktivizálása és a keringés gyorsítása rengeteg előnnyel jár.
Itt az IDEJE, hogy imádd a bőrödet! És itt az ideje, hogy stratégiában gondolkodva megtegyél mindent annak érdekében, hogy kortalannak és sugárzónak érezd magad évtizedek múlva is...Hogyan érheted ezt el? Nézzük meg először, hogy mi történik a bőröddel a következő években...fogod IMÁDNI ezt a csoda készüléket?
A feszes bőr titka a rendszeres stimuláció különböző technológiákkal, a célnak és bőrállapotnak megfelelően.
ÍME egy készülék, mely megváltoztatja a bőröd minőségét és hosszú távon heti 20-30 perc befektetéssel évek múltán is erős és gyönyörűen feszes, sugárzó bőrt eredményez: a MagicLift 4in1. Mert rendszeres, erős stimulációt ér el, miközben a bőrminőséget is javítja.

Mi az összes hatása a MagicLift Arcfiatalításnak?
-
Feszesebb, tömörebb bőrt eredményez
-
A több kollagén rost miatt jobb hidratáltságot
-
Kisebb pórusokat, egyenletesebb szebb textúrát
-
Jobb bőrminőség
-
Élesebb kontúrok, megemeltebb arcbőr
-
Energizáltabb bőr
-
Vékonyabb arc a nyirokkeringés serkentése miatt
-
Szem környéki bőr feszesebb, kipihentebb kinézet
-
Duzzanatok és a karikák csökkenése
-
Gyulladások csökkentése
Fiatalos Bőröd Titka: A Kollagéntermelés Fokozása
Mi indítja be a kollagén termelést?
A kollagén indukciós kezelések, melyek nem csak a felszínen hatnak és mikro sérüléseket okoznak a mélyebb rétegekben. Ezeknek a mikrosérüléseknek hála indul el a növekedési faktor kibocsátás, a fibroblasztok aktivizálódnak és friss kollagént termelnek a sérülések helyére. A szervezetünk túljavítja azt a helyet, ahol érezte a behatást:) Ezt használjuk ki rádiófrekvenciás kezelésekkel, mikroáramos kezelésekkel, tűs kezelésekkel, HIFU, lézeres vagy IPL kezelésekkel stb. Rengeteg jó módszer van, a lényeg, hogy egy-két kúra minden évben szükséges a kollagén termelés magasan tartásához és a bőr újjáépítéséhez.
Ugyanakkor a mezoterápia, a sima ultrahang, a felszínen ható krémek, illetve a hialuronsavas töltések, azaz mű injekciók nem indítanak be elegendő kollagén termelést, hiszen céljuk nem a rostok megsértése. Az átmenetileg látványosan ható feltöltő kezelések után a bőr nem lesz jobb minőségű, tömörebb azaz egy egyre vékonyodó bőr alá lesz töltögetve....nem vagyunk töltésellenesek, de mellette fontos valami, ami hosszú távon megtartja a rostokat és így a tömörséget, feszességet.

Kortalan szépség? A megelőzésről se feledkezz meg!
Miért várnál a ráncokra, ha most megőrizheted bőröd fiatalos ragyogását? Kezdj el gondoskodni róla időben, és élvezd a hosszú távú eredményeket!
Mi történik a bőrünkkel 27 éves kor felett?
Van, akinek 27-30 éves koráig szép a bőre, de 27 éves kortól a kollagén termelés elkezd lecsökkeni a kollagén rostok a bőrben, melyek a tömörségért felelősek elkezdenek elvékonyodni, a minőségük romlik és egyre kevesebb vizet kötnek meg. E mellett az izmok is kezdenek elernyedni, majd lassan atrófián mennek keresztül és a bőrünk szépen lassan megereszkedik, dehidratálttá válik, elvékonyodik. A petyhüdtség, a ráncok, a szárazság és a külső egyéb behatások okozta károk (pl. nap) egyre inkább meglátszanak a bőrünkön. A megereszkedés és volumenvesztés miatt a kontúrok is romlanak főleg az állvonalon, ami extra pár év pluszt jelent. Mit tudsz tenni ez ellen?
Sokba fog kerülni később, ha nem figyelsz most a bőrödre és nem kezdesz el profi módszerekkel, kezelésekkel gondoskodni a bőröd tömören és erősen tartásáról. Amit a 20-30-as éveidben megteszel a bőrödért, jelentős különbséget fog jelenteni a 40-50-60-as éveidben. 25-27 éves kortól érdemes elkezdeni az olyan kezeléseket, melyek serkentik a kollagén termelést.
Mi annak az előnye, ha nem engeded lelassulni a kollagén termelésedet?
-
Kevésbé indul meg, illetve később jelentkezik a megereszkedés, petyhüdtség
-
Egy erősebb körőszövet-dermis esetén a ráncok kevésbé tudnak megjelenni, bevésődni, elmélyülni
-
Feszesebb és tömörebb bőröd lesz
-
Ha folyamatosan magasan tartod a kollagén termelést, akkor több jó minőségű ÚJ rost képződik-melyek jobban kötik meg a vizet a bőrben (pl. a természetes hialuronsavat), így megmarad a bőröd volumene, hidratáltsága, roppanóssága...
-
A kollagén termelés magával húzza az elasztin termelést is, így bőröd minősége tovább marad egyenletes, selymes.
Összességében a bőröd 5-10 év múlva jelentősen jobb állapotban lesz, mintha hagytad volna lelassulni a kollagén és elasztin termelést. Ha szeretnél 10 évvel fiatalabbnak tűnni a korodnál, akkor fontos gondoskodnod a bőröd mélyebb rétegeinek tömörségéről-azaz a rendszeres stimulációról. Így folyamatosan magasan tarthatod a kollagén termelésedet, vastagon a rostjaidat, tömötten a bőrszerkezetedet!
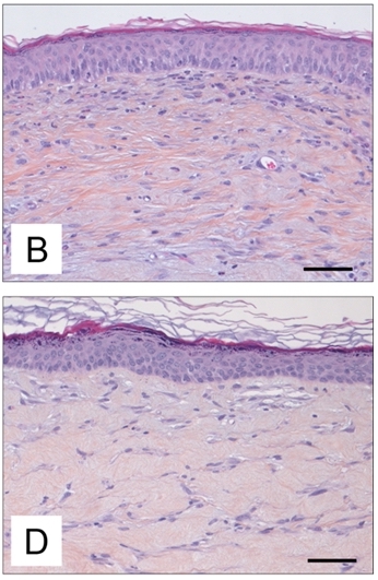
Nézzünk egy bőrbiopsziát, ami pontosan megmutatja egy igazi bőrben a különbséget a rostokban. A felső egy fiatal bőr, az alsó egy öreg bőr igazi metszete:

Hogyan használd a készüléket?
Alábbi videónkban részletesen bemutatjuk egy kezelés menetét:
TOP TIPP: A MagicLift bőrfiatalító készülékben rejlő extra lehetőségek
-
A MagicLift-et nem csak az arcodon tudod alkalmazni bőrfiatalításra. Sőt, furcsa lenne, ha a nyakad és dekoltázsod vagy a kézfejed bőrére nem fordítanál figyelmet. Alkalmazd a MagicLiftet ezeken a területeken is, hogy összehangban maradjanak az "árulkodó" bőrrészek és mindenhol egységesen fiatalos és kisimult légy!
-
A kezeléshez sima ultrahang gél helyett alkalmazd speciális hialuronsavas vezető gélünket, így rögtön feltöltöd a bőröd hialuronsavval és erősíted a védőrétegét!
-
A kezelés után érdemes egy jó minőségű gyorsan beszívódó szérumot alkalmazni, hiszen a meleg bőr, a kezelés miatt kitágult erek és az oxigéndús kötőszövet gyorsabban felveszik a hatóanyagokat. Javaslatunk: a DermaGene Hialuronsavas Szérum, hiszen fontos, hogy amit elektrokozmetikai kezelések után a bőrödre kensz, az maximálisan tiszta, paraben és kőolaj és tartósítószer mentes, magas hatóanyagtartalmú kozmetikum legyen. Úgy fejlesztettük ki ezt a szérumot, hogy kezelés közben is adagolhatod a mikroáram és RF alá- hiszen a vezetőképessége megfelelő!
-
A kezelés után feldobhatsz egy extra hidratáló maszkot is
-
A kollagén termelést gyorsíthatod extra nagy dózisú C Vitamin szedésével

Arcfiatalító kúrák lefolytatása a MAGICLIFT 4IN1-el:
-
Rádiófrekvencia esetében javasolt (hőenergiától, azaz a kezelési intenzitásától függően) először hetente egyszer, majd két/három hetente egyszer alkalmazni a készüléket. Egy kúra minimum 6-8 alkalomból áll (heti 1 kezelés), de tovább folytathatod a kezeléseket ameddig szeretnéd. Hosszú távon havonta-másfél havonta egy fenntartó kezelés szükséges.
-
EMS kezelés következhet rögtön a rádiófrekvencia előtt vagy után is, vagy külön kezelésként is alkalmazható. Az EMS gyakrabban alkalmazható, mint a rádiófrekvencia, hetente 2 kezelés javasolt az első időszakban, majd hetente egyszer és végül 2-3 hetente egy kezelés fenntartó időszakban. Egy kúra minimum 6-8 alkalomból álljon (heti 2 kezelés). De minél több, annál jobb!
-
Egy kezelésen belül kombinálhatod a két rádiófrekvenciás módot is (van érintő mód és húzó mód is)
-
Akár a két rádiófrekvenciás mód egymás utáni alkalmazása után IS tudsz még EMS módot is alkalmazni. Azaz egy kezelésen belül lefolytathatod a rádiófrekvenciás móddal és az EMS móddal is a kezelést.
Fontos információk:
- Soha ne alkalmazd a készüléket vezető gél nélkül, száraz bőrön (DermaGene® Hialuronsavas vezető gél).
- A kezelést követően a bőröd enyhén kipirosodhat, ez normális!
- Mindig tiszta bőrön végezd el a kezelést, javasolt kezelés előtt a bőr alapos megtisztítása a DermaGene® FaceCleaner Mini-vel.
Biztonságos használat – fontos tudnivalók
A MagicLift 4in1 elektrokozmetikai eszköz. Bizonyos egészségügyi állapotok esetén a használata nem javasolt. Ha gyógyszert szedsz vagy egészségügyi kérdésed van, vásárlás előtt egyeztess szakértőinkkel: +36 70 364 0466
Ellenjavallatok és részletek: Megnyitom

Valódi szakmai támogatás – a vásárlás előtt és után is
Ha kérdésed van a készülékkel, a használattal vagy a választással kapcsolatban, nem maradsz egyedül.
-
Szakképzett kozmetikus kollégáink segítenek a döntésben és a helyes használatban, nálunk a telefont ők veszik fel
-
Elérhető ügyfélszolgálat szakmai és technikai kérdésekben is
-
Budapesti szervizközpont – nem külföldre küldjük a készüléket és azonnal segítünk
Meghibásodás esetén:
-
azonnal megkezdjük a bevizsgálást
-
szükség esetén javítjuk vagy cseréljük a készüléket a garanciális feltételek szerint
Ha kérdésed van, keress minket bizalommal: +36 70 364 0466
100%-ban magyar tulajdonú Magyarországi családi cégként, 18 éves piaci tapasztalattal és valódi szakmai támogatással mindig fogjuk a kezed!

Az élesebb arckontúr és állvonal elérhető rendszeres MagicLift kezelésekkel!
Kezelést követően:
-
24 óráig kerüld az erős napsugárzást, napozást
-
3-4 napig alkalmazz minimum 50SPF fényvédőt
-
24 óráig ne szaunázz, ne érje erős gőz vagy hő a bőröd (wellness kerülése 1 napig)
-
Hidratáld a bőröd gazdagon
-
A kollagén termelés miatt fogyassz nagy mennyiségű tiszta vizet minden nap, hogy a friss kollagén vizet köthessen meg
-
Alkalmazz magas dózisú C-vitamint (napi 1000mg-ot, hogy segítsd a kollagén-termelést (javasoljuk az AURORA kollagén limonádé porunkat, mely kollagént, hialuronsavat, cinket és C-vitamin tartalmaz) A klinikai tanulmányok szerint a napi 1000mg C-vitamin javítja a kollagén indukció okozta kollagén termelés lefolyását, azaz rásegít a folyamatra!
Turbózd fel rutinod!
A DermaGene Collagen Jelly Gel egy multifunkciós, kollagénben gazdag vezető gél és bőrápoló maszk, amelyet kifejezetten ultrahangos, rádiófrekvenciás, mikroáramos és más elektrokozmetikai kezelésekhez fejlesztettek ki. Ideális közeget biztosít a készülékek hatékony működéséhez, miközben önálló hatóanyag-kúraként is kiemelkedő ápolást nyújt.
A gél fő összetevője a hidrolizált kollagén, amely támogatja a bőr feszességét és rugalmasságát, javítja a bőr szerkezetét és segíti a természetes regenerációs folyamatokat. Niacinamiddal, hialuronsavval és panthenollal gazdagított formulája intenzíven hidratál, egységesíti a bőrtónust, nyugtatja és táplálja a bőrt.
Emellett a növényi kivonatok (pl. rózsa, jázmin, kamilla) gyulladáscsökkentő, bőrkondicionáló hatásukkal hozzájárulnak a bőr egészséges, üde megjelenéséhez. Használatával a bőr teltebb, simább és ragyogóbb lesz, míg a kezelések hatékonysága látványosan fokozódik.

Kezelést követően:
- 24 óráig kerüld az erős napsugárzást, napozást
- 3-4 napig alkalmazz minimum 50SPF fényvédőt
- 24 óráig ne szaunázz, ne érje erős gőz vagy hő a bőröd (wellness kerülése 1 napig)
- Hidratáld a bőröd gazdagon
- A kollagén termelés miatt fogyassz nagy mennyiségű tiszta vizet minden nap, hogy a friss kollagén vizet köthessen meg
- Alkalmazz magas dózisú C-vitamint (napi 1000mg-ot, hogy segítsd a kollagén termelést (javasoljuk az AURORA kollagén limonádé porunkat, mely kollagént, hialuronsavat, cinket és C-vitamin tartalmaz) A klinikai tanulmányok szerint a napi 1000mg C-vitamin javítja a kollagén indukció okozta kollagén termelés lefolyását, azaz rásegít a folyamatra!
Fókuszálj csak az eredményekre, a többit bízd ránk!
Számunkra is fontos készüléked zavartalan működése, így meghibásodás esetén gyors és megbízható segítséget nyújt budapesti szervizközpontunk. Minden DermaGene elektrokozmetikai készülékre 2 év garanciát vállalunk, ezen felül minden vásárlás után 14 napos ingyenes elállási lehetőséget biztosítunk (részletes feltételeket az ÁSZF-ben találod.)
Specifikáció:
- RF Energia: 10 W
- RF Frekvencia: 1 MHz
- Töltési idő: 3 óra
- Akkumulátor: 1100 mAh
- Mikroáram erőssége: 500 µA
- Bemeneti feszültség: 5 V
- Készülék súlya: 208 g
- Minősítés: CE, RoHS, FCC
- Garancia: 2 év
- A készülék doboza: 19,5 x 15 x 4,7 cm és 0,47 kg
A csomag tartalma:
- DermaGene Magiclift4in1 készülék
- DermaGene Collagen Jelly Gél (60 ml)
Pacemaker, belső defibrillátor, magas vérnyomás, immunrendszeri megbetegedés, epilepszia, szklerózis multiplex vagy más jellegű idegrendszeri betegség esetén, 1-es típúsú cukorbetegség, kórtörténetben bármilyen típúsú rákos megbetegedés szerepel, ér- és szívizom megbetegedés, terhesség, szoptatás, felületi bőr elváltozás, bőr-rendellenesség, amennyiben az elmúlt 3 hónapban műtéti kezelésen vett részt, tartós gyógyszeres kezelés alatt áll, a kezelendő területem fém vagy más implantátum található.
Fém fog implantátum esetén fogtampon alkalmazása javasolt, ha a kezelés így is kellemetlen a száj környékén, akkor a száj környékét ki kell kerülni.
Ha a kezelni kívánt területen cisztikus akne, rosacea, seb, pikkelysömör, ekcéma, égési sérülés, herpesz, gyulladás, vágások vagy kiütések találhatóak, ne használja a készüléket!
A készüléket csak egészséges és ép bőrfelületen alkalmazhatja, napégett, irritált bőrön a készüléket nem.
Hemosztatikus diszfunkció, vérzési rendellenesség, véralvadás gátlási zavarok esetén ne alkalmazza a készüléket.
Erős savas hámlasztást vagy lézeres hámlasztást követően a készülék 3 hónapig, arcplasztika után 1 évig a készülék nem alkalmazható.
Ne alkalmazza a készüléket keloidos hegeken, illetve akkor sem ha keloidos sebgyógyulásra hajlamos.
FIGYELEM! A készülék kezelőfejében fém található – fémallergia esetén használata nem ajánlott.
Kérjük amennyiben valamilyen súlyos egészségügyi problémája van vagy gyógyszert szed, olvassa el az ellenjavallatokat vagy kérdezze meg szakértőinket (+36703640466) gépvásárlás előtt!
Kapcsolódó termékek:
Hasonló termékek:
Vásárlói vélemények:
Kérdések és válaszok:
